Last updated: 30 Jan 2025 | 520 Views |
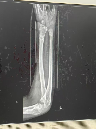
近日,华侨中医院迎来了一位12岁前臂骨折的患者(双骨折),第五掌骨(掌指关节端骨折,翻转移位,西医院告知必须手术,费用最少10多万铢,西医院已安排手术治疗,患者要求保守治疗,之后在网上看到华侨中医院有专业医生的介绍,经过骨伤推拿科资深中医师李汉成的精心治疗,患者恢复如初(达到解剖复位),患者非常满意,为此特别送来了锦旗,表达感激之情。
患者因意外骨折就诊
患者在一次意外事故中不慎摔伤,导致前臂骨折。经常规的西医治疗后,虽已固定,但由于伤势较重且复原缓慢,患者的前臂活动仍受到严重限制,疼痛不减。由于长期的疼痛与功能障碍,患者在治疗过程中感到无比困惑和焦虑。
在多方求医无果后,患者得知华侨中医院的李汉成资深中医师擅长骨伤治疗,便决定尝试中医治疗。李汉成医生有着多年临床经验,擅长利用中医推拿疗法,治疗各类骨伤疾病。患者怀着希望来到李医生处诊疗。
李汉成医生的精准诊疗
在初次会诊时,李汉成医生仔细询问了患者的病史,并结合中医的脉诊与舌诊,全面了解了患者的整体健康状况。李医生通过中医推拿的方式,对骨折部位进行治疗。通过推拿手法疏通筋脉,促进骨折愈合。
传统中医疗法的独特优势
患者在接受李医生治疗的几天后,明显感到疼痛减轻,前臂活动逐渐恢复。随着治疗的继续,骨折部位愈合进展迅速,患者的日常活动逐渐恢复正常。经过一段时间的调养,患者终于康复,重获健康。
感恩锦旗,情深意长
在病愈后,患者特地携带锦旗前来华侨中医院,亲自送到李汉成医生手中。锦旗上写着“医术精湛、医德高尚”,表达了患者对李医生深深的敬意与感激。李汉成医生深感荣幸,表示这是患者康复的最大回报,也是他从医多年来最珍贵的馈赠。
结语
李汉成医生凭借精湛的医术和深厚的医德,为无数患者带来了希望与康复。他的治病理念也为更多的患者提供了不同于西医的治疗思路和方法,华侨中医院以其专业的医疗团队和贴心的服务,赢得了广大患者的信赖和好评,也为弘扬中医文化做出了积极贡献。




医生介绍
李汉成资深中医师
出生中医世家,毕业于皖南医学院临床专业,从事临床工作40余年,擅长运用中医中药、针灸、手法治疗因自由基代谢紊乱引起的临床症候群(包括内、外、妇、骨伤、儿科以及杂病)的治疗,特别在骨推科方面推出:颈椎病、腰椎病、膝关节病三大病种的治疗。
24 Apr 2026
15 May 2026
8 May 2026
22 May 2026